

Best Website 2015
Best Dental Team 2015
Best Practice Leinster and Munster 2015
Best Specialist Practice 2015
Practice of the Year 2015





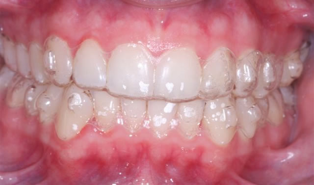
Invisalign involves wearing a practically invisible set of clear braces (aligners) provided by a specialist orthodontist in Tullamore, Ireland or in Portlaoise. They are custom molded to fit you which are changed every 2 weeks to move your teeth gently into the required position. Almost no one can tell you are wearing Invisalign. They are easy to wear, comfortable and virtually invisible clear braces so you can get your teeth straightened without friends realizing you are wearing braces.
We are also part of a specialist group of orthodontists who specialize in Invisalign called Invisible Orthodontic Specialists. No matter how good an appliance is, it depends on the skill and experience of the operator, like a learner driver and a racing car-skill and experience are needed.Specialist Orthodontists are dentists who did a further 3 years training in orthodontics only, after the five year dental degree and who then practice only orthodontics and update with regular courses to maintain expertise.
Invisalign is extremely comfortable and popular with our patients. Invisible braces are wire free so no one knows you are wearing braces.They are also removable for that special occasion. Adults love them.
Invisalign cannot treat all malocclusions but is suitable for mild – moderate malocclusion especially when extractions are not needed. Ace Braces are award winning in providing clear braces and Invisalign aligners in Ireland.
With the Invisalign you simply change your aligners every 2 weeks and see the orthodontist approximately every 8-12 weeks. The aligners gradually move your teeth into position. As long as the aligners fit, the teeth are moving successfully. If you do not wear the aligners then you will find they will not fit and you need to see your orthodontist immediately to rectify the situation. The aligners need to be worn for 22hours a day, taken out for brushing and cleaning.
The aligners are pretty invisible even with the white attachments. You can smile confidently without braces being obvious. They are removable for eating and drinking so it is easy to keep your teeth clean. They are more comfortable compared to traditional braces and you can see the planned result when you view the computerised simulation at the clincheck appointment at the start of treatment. They are very popular due to the appearance and are so comfortable to wear.
They are suitable for adults and teenagers. A high level of co-operation is needed, e.g. be disciplined to put the retainers back in again after meals. For eating and drinking you need to take them out unless you are drinking water. Speech is not normally affected although you may have a slight lisp at the very start. We advise you to talk so your mouth gets used to the new appliance.
If you are interested, please call us today for a complimentary consultation, so we can assess whether Invisalign is suitable for you and give you details of our flexible payment plan.
Find out more about Invisalign Braces
Please do not clean invisalign invisible braces with toothpaste as it is too abrasive and scratches the aligners so the invisible braces can get cloudy.